Sıhhat görevlisinin yanlışı yüzünden ölümcül hastalığa yakalandı
İrlanda’da bir sıhhat görevlisinin dikkatsizliği, 30 yaşındaki bayanın hayatını alt üst etti. Kendisine yanlış aşı yapılan genç bayan bir anda ölümcül hastalığa yakalandı.
İrlanda’da bir sıhhat görevlisinin dikkatsizliği, 30 yaşındaki bayanın hayatını alt üst etti. Kendisine yanlış aşı yapılan genç bayan bir anda ölümcül hastalığa yakalandı.
İrlanda’da yaşayan 30 yaşındaki bir bayan rastgele bir sıhhat sorunu yaşamıyordu. Bir sıhhat kuruluşuna giden bayan kızamık, kabakulak ve kızamıkçık (MMR) aşısı olmak istedi.
Ancak sıhhat vazifelisi ezkaza verem aşısı (BCG) enjekte etti. Sıhhat görevlisinin dalgınlığı, genç bayanın hayatını kabusa çevirdi.
HAYATI KABUSA ÇEVİREN KUSURLAR ZİNCİRİ
Her yıl 1 milyondan fazla kişinin vefatına sebep olan verem virüsü, dünyanın en ölümcül enfeksiyonlarından biri.
Sağlık görevlisinin müthiş yanlışı genç bayanın hayatını bir anda değiştirdi. Kelam konusu aşı, rastgele bir olumsuz durumda önemli yan tesirlere yol açıyor.

DURDUK YERE VEREM OLDU
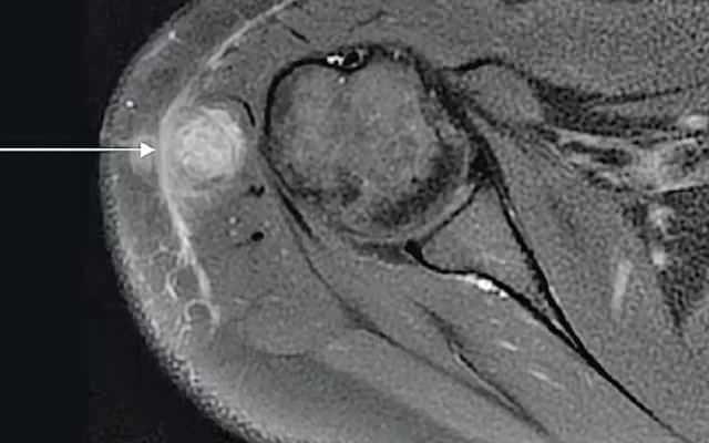
Yanlış aşı, bayanın kolunda iltihaplı bir apse oluşumuna sebep oldu. Yapılan testler sonrasında bu apsenin vereme neden olan bakteriler içerdiği ortaya çıktı.
Ayrıca, aşının deri altı yerine kas içine enjekte edildiği anlaşıldı. Bu da enfeksiyonun denetim edilemez formda ilerlemesine neden oldu.
Genç bayanın bağışıklığı bir anda çöktü ve bedeninde önemli enfeksiyonlar gelişti. Genç bayan, 6 ay boyunca önemli bir tedavi görmek zorunda kaldı.