Uzman isim uyardı: Görünmeyen tehlike: Beyin tümörleri ve belirtileri
Her baş ağrısı temiz olmayabilir. Medipol Sıhhat Grubu’ndan Beyin ve Hudut Cerrahisi Uzmanı Dr. Öğr. Üyesi Cevdet Gökçek, kolay bir migren üzere görünen şikayetlerin altında önemli tabloların yatabileceğini belirtti. Gökçek, “Özellikle yeni başlayan baş ağrısına eşlik eden kusma ve nöbetler, beyin tümörünün habercisi olabilir” ikazında bulundu.
Her baş ağrısı suçsuz olmayabilir. Medipol Sıhhat Grubu’ndan Beyin ve Hudut Cerrahisi Uzmanı Dr. Öğr. Üyesi Cevdet Gökçek, kolay bir migren üzere görünen şikayetlerin altında önemli tabloların yatabileceğini belirtti. Gökçek, “Özellikle yeni başlayan baş ağrısına eşlik eden kusma ve nöbetler, beyin tümörünün habercisi olabilir” ikazında bulundu.
HABERE İLİŞKİN GÖRÜNTÜ İÇİN TIKLAYIN İZLE
Beyin tümörleri, beynin kendisinden, etrafındaki zarlardan yahut kafatasından kaynaklanabildiği üzere bedenin öteki bölgelerindeki kanserlerin beyne yayılmasıyla da oluşabiliyor. Medipol Üniversitesi Pendik Hastanesi’nden Beyin ve Hudut Cerrahisi Uzmanı Dr. Öğr. Üyesi Cevdet Gökçek, beyin tümörleri hakkında kıymetli açıklamalarda bulundu. “Akciğer, göğüs ve böbrek üzere organlardaki birtakım tümörler beyefendisine metastaz yapabilir. Ayrıyeten kimi kan hastalıkları lenfoma üzere beyinde kendini gösterebilir” dedi.

BEYİN TÜMÖRÜ BELİRTİLERİ ÇEŞİTLİ OLABİLİYOR
Beyin tümörlerinin belirtilerini sıralayan Dr. Gökçek, “Bulantı, kusma, baş ağrısı, baş dönmesi, sara nöbetleri, kişilik değişiklikleri, hafıza ve görme bozuklukları, olağandışı göz hareketleri ve kulakta çınlama beyin tümörlerinin en sık görülen belirtileri arasında” dedi.
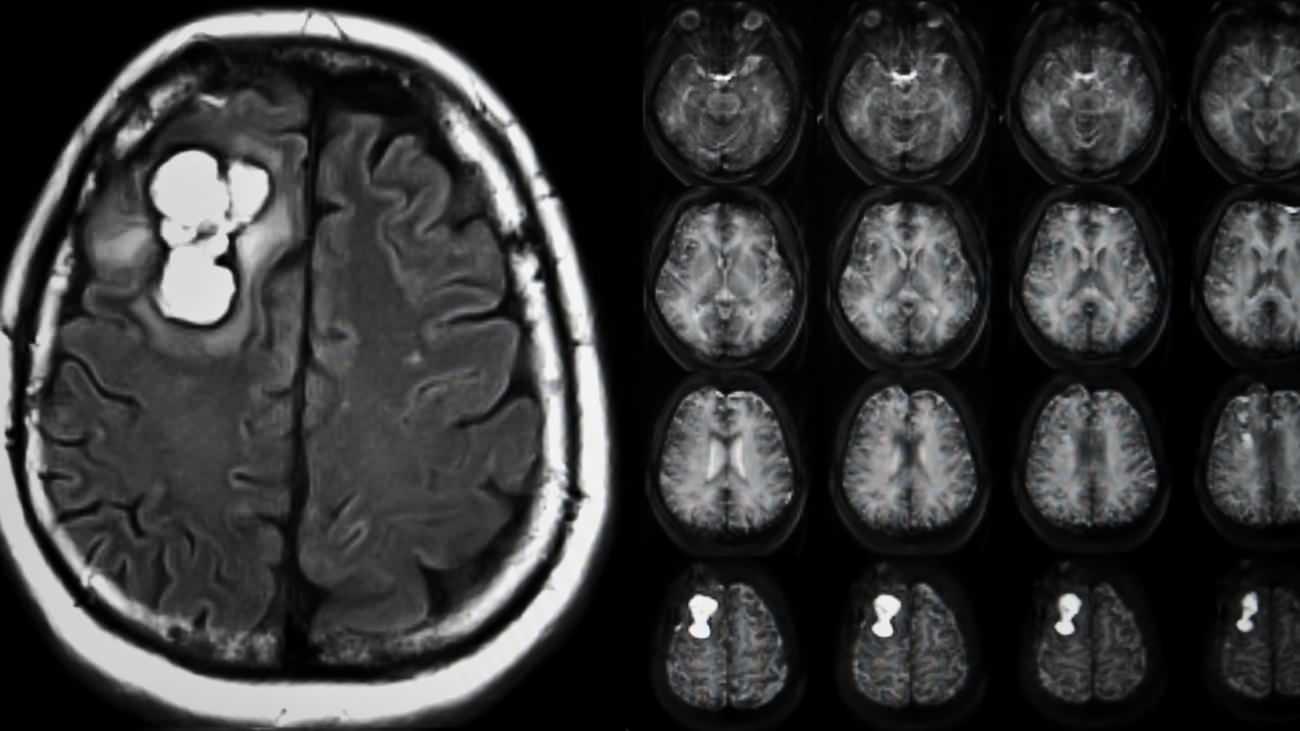
Beyin tümörlerinin kesin tanısı için MR çekiminin altını çizen Dr. Gökçek, “Kapalı alan korkusu olan hastalar için tomografi kısa müddette bilgi verebilir. Fakat beyin tümörlerinin hakikat halde tespiti ve lokalizasyonu için MR şarttır” diye konuştu.

EN TESİRLİ TEDAVİ METODU CERRAHİ
Tedavi metotları hakkında da bilgi veren Dr. Gökçek, “Günümüzde beyin tümörlerinin en tesirli tedavi metodu cerrahidir. Beyin zarlarından kaynaklanan yeterli huylu tümörler büsbütün çıkarılırsa sonuçlar hayli başarılı oluyor. Beynin kendi dokusundan çıkan tümörlerde ise cerrahi ömür mühletini uzatıyor. Cerrahinin yanı sıra radyoterapi ve kemoterapi de uygulanabiliyor” sözlerini kullandı. Dr. Gökçek son olarak şunları ekledi: “Uzun süren yahut yeni başlayan baş ağrısı, bulantı, kusma, kulakta çınlama, görme bozuklukları ve saran nöbetler yaşanıyorsa vakit kaybetmeden bir uzmana başvurulmalıdır. Erken teşhis hayat kurtarır ve tedavi bahtını artırır.”